30歳 女性 矯正期間8ヶ月
症例の詳しい説明

治療前
前歯部の開口と全歯の軸がうまく合っていないことによって、正常な咬合が機能していない状態でした。
咬み合せの高さ調整と歯軸のコントロールを行い、全体のバランスを整えることを目的とし治療を開始しました。
治療中
術式は、MEAWテクニックを用いた治療を行いました。
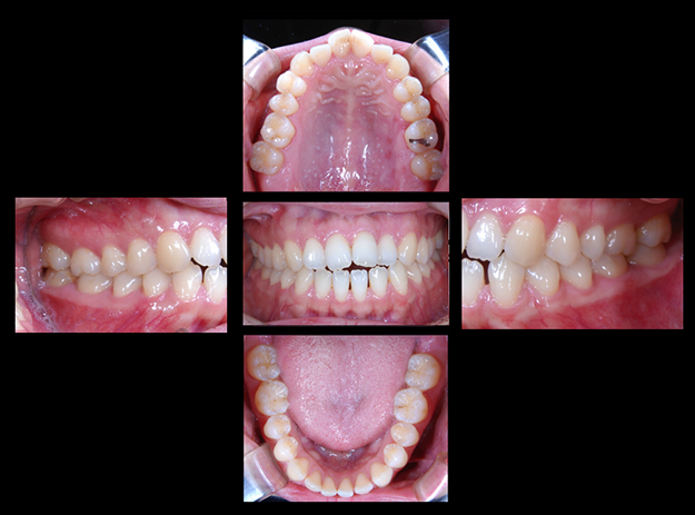
治療後
前歯部開口の改善 歯列弓の形態、全歯の傾斜は改善され、大変バランスが良くなりました。
側方運動時も理想的な状態で、審美的にも良好な結果が得られました。
治療期間は8ヶ月でした。
治療前
治療中
治療後










































