20歳 女性 矯正期間2年
症例の詳しい説明

反対咬合と上下顎の歯列不正が著明なケースです。
こういった咬合では、歯の健康だけでなく、全身の健康にも大きな影響を与えます。
このようなケースでも、当医院では「非抜歯』で治療を行います。
上下顎の歯列アーチを拡大し、理想的な顎の位置での歯の配列に重点を置き治療を行います。
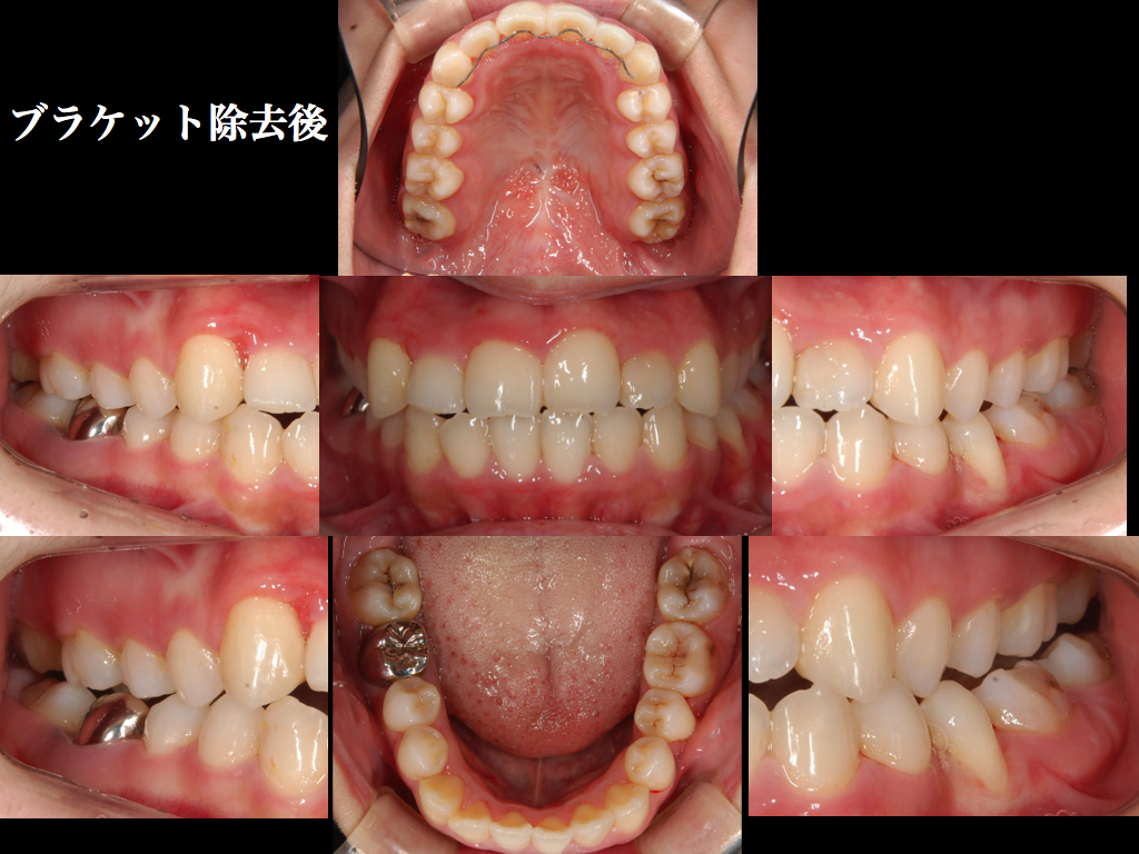
治療後は、綺麗な歯列になりスムーズな顎運動ができるようになりました。
治療期間は約2年でした。
治療前
治療中
治療後

反対咬合と上下顎の歯列不正が著明なケースです。
こういった咬合では、歯の健康だけでなく、全身の健康にも大きな影響を与えます。
このようなケースでも、当医院では「非抜歯』で治療を行います。
上下顎の歯列アーチを拡大し、理想的な顎の位置での歯の配列に重点を置き治療を行います。
治療後は、綺麗な歯列になりスムーズな顎運動ができるようになりました。
治療期間は約2年でした。
治療前

治療中
治療後
